digitales Röntgen

Röntgen

Zur Darstellung von Knochen, Gelenken u. inneren Organen werden Röntgenaufnahmen immer nur nach sorgfältiger klinischer Voruntersuchung gemacht. Unser Röntgengerät ermöglicht eine schnelle Diagnosestellung im Skelett- und Weichteilbereich.

Wir entscheiden von Fall zu Fall, ob die Röntgenaufnahme mit oder ohne Sedation möglich ist. Aufnahmen von Herz, Lunge und Bauchorganen erfolgen in der Regel ohne Sedation, dabei kann es hilfreich sein, wenn Sie als Tierbesitzer zur Beruhigung bei Ihrem Tier bleiben, Sie müssen dann allerdings aus Strahlenschutzgründen Bleischürzen tragen.

Abschließend besprechen wir mit Ihnen den Röntgenbefund sowie evt. erforderliche Behandlungsmaßnahmen.

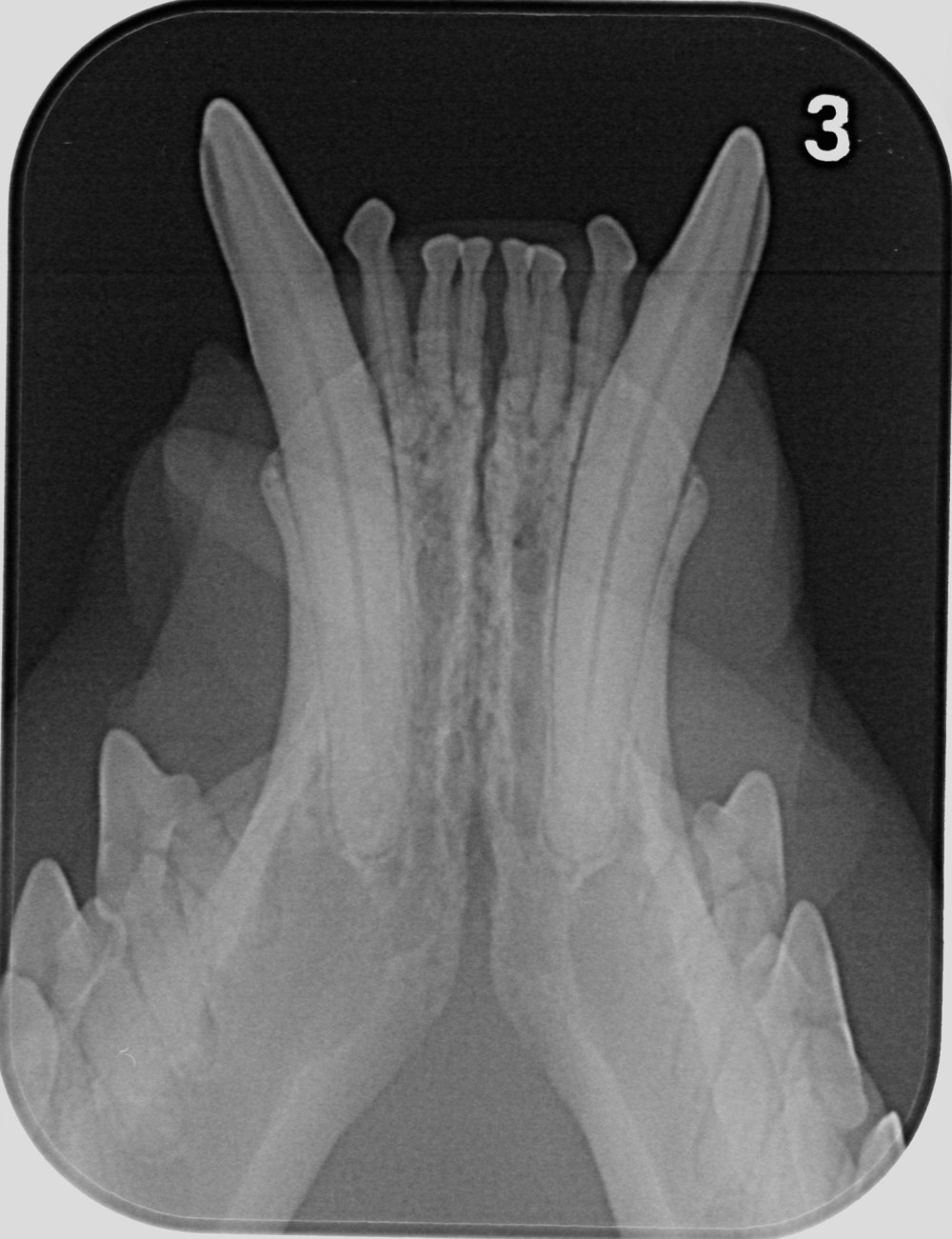
digitales Dentalröntgen: Canini UK

Zahnheilkunde

Die Gesundheit und das Wohlbefinden unserer Haustiere kann durch Zahnerkrankungen massiv gestört werden. Durch bakterielle Entzündungen, hervorgerufen von Zahnstein, Parodontose und Zahnwurzelabszesse, können dauerhafte Schäden in der Maulhöhle und den inneren Organen auftreten. Daher ist es wichtig, Ihr Tier regelmäßig auf Erkrankungen der Zähne und des Zahnhalteapparates zu untersuchen.

Auch die kleinen Heimtiere haben häufig Zahnerkrankungen.

Oft sind falsche Zuchtkriterien und unsachgemäße Ernährung die Ursache. Zu den häufigsten Erkrankungen zählen Zahnhaken, Brückenbildung oder Zahnwurzelabszesse. Die Folgen können fatal sein und reichen von verminderter Futteraufnahme über Verletzungen in der Maulhöhle bis hin zum Tod des Tieres. Deshalb sollten Sie bei kleinen Heimtieren immer daran denken, dass für Gewichtsabnahme oder Verdauungsstörung oft ein Zahnproblem die Ursache sein kann.

Präventivmedizin

Präventivmedizin

Dabei handelt es sich um

  • jährliche Impfungen und die dazu gehörende klinische Untersuchung von Hunden, Katzen und Kaninchen.
  • Krankheitsvorsorge bei älteren Tieren: Herzkontrolle, Blutuntersuchungen, regelmäßige Zahnkontrollen, Ernährung, Gewicht.
  • Gesundheitscheck, präoperatives Profil.
  • Aufklärung und Beratung bei der Aufzucht und Fütterung von Welpen.
  • Ernährungsberatung z.B. zur Vorbeugung von Gelenk- u. Knochenproblemen im Alter.
  • Beratung zur notwendigen Diät bei inneren Erkrankungen (z.B. Stoffwechselstörungen von Leber oder Niere u. Herzerkrankungen).
  • Vorbeugende Röntgenuntersuchungen zum Nachweis von HD (Hüftgelenksdysplasie), ED (Ellenbogendysplasie) oder OCD (Osteochondrosis dissecans) und Tauglichkeitsuntersuchungen für den Hundesport zB Agility.
Laborbereich

Labor

In unserem eigenen Labor können verschiedene Untersuchungen sofort durchgeführt werden:

  • Urinanalyse (Harnchemie / mikroskopische Harnsedimentuntersuchung)
  • Kotuntersuchungen für die parasitologische Diagnostik
  • Nachweis von bestimmten Virusinfektionen mittels serologischer Schnelltest zB.
    Katzenleukose (FeLV)
    Katzenimmunschwächevirus (FIV)
    Parvovirose des Hundes
  • Pilzdiagnostik
  • Entnahme von Tupferproben zur bakteriologische Diagnostik
  • Hautuntersuchungen (Abklatschuntersuchungen, Geschabsel…)
  • Mikroskopisch-parasitologische Untersuchungen (Ohrmilben,...)
  • Blutuntersuchungen

Besonders aufwendige Untersuchungen lassen wir in spezialisierten veterinärmedizinischen Labors durchführen. Hierunter fallen z.B. Analysen über den Hormonstatus, Organprofile, Allergietests oder Schilddrüsendiagnostik

Operationen

Wir führen alle notwendigen Operationen in der Regel ambulant durch, d.h. Ihr Tier wird am gleichen Tag wieder nach Hause entlassen.

Operationen mit anschließender stationärer Betreuung sind möglich, falls die Schwere des Falles einer intensiv medizinischen Nachsorgebedarf. Individuell abgestimmte Narkosen und deren Überwachung senken das Narkoserisiko. Dies ermöglicht auch bei alten Patienten eine notwendige Operation, um damit ihre Lebensqualität wieder zu verbessern.

Wir führen folgende Operationen durch:

  • Routineoperationen, wie z.B. Kastrationen von Hunden, Katzen u. Heimtieren, sowohl männlich als auch weiblich
  • Weichteilchirurgie, z.B. Wundversorgung, Tumoroperationen (Mammatumore, Milztumore), Perinealhernien, Magen- Darmoperationen
  • Unfallchirurgie
  • Augenoperationen
  • Chirurgische Eingriffe an Vögeln u. Reptilien

Was muß ich vor der Operation meines Tieres beachten?

Es ist wichtig, dass das Tier nüchtern ( gilt nicht für Nager) ist, d.h. es darf 8-12 Stunden vor der geplanten Operation nichts mehr fressen. Trinken ist erlaubt.

Ihr Tier sollte ein gepflegtes Fell besitzen. Somit verringern Sie die Gefahr, dass Krankheitserreger, die sich schon auf der Haut befinden, das Operationsgebiet infizieren.

Achten Sie darauf, dass Ihr Tier nicht unnötige Aufregungen am Tag der Operation erleidet. Je entspannter ein Tier vor der Operation ist, desto weniger Narkosemittel wird benötigt und desto geringer wird der Kreislauf des Tieres belastet.

Bei älteren Tieren und Risikopatienten sollte eine vorbeugende Herz- Kreislauf- und Blutuntersuchung durchgeführt werden.

Zu den individuell erforderlichen Maßnahmen zur Nachsorge für Ihren Vierbeiner beraten wir Sie bei einem Vorgespräch und einer Voruntersuchung sowie am OP-Tag selbst.

Was muß ich nach der Operation beachten?

Das Tier soll zu Hause auf eine weiche Unterlage auf den Boden gelegt werden, da es einige Zeit dauert, bis es seine volle Reaktionsfähigkeit wieder erlangt hat. Von einem erhöhten Liegeplatz wie z.B. einem Bett oder einem Sofa könnte es herunterfallen und sich verletzen.

Gut ist es für das Tier, in einer warmen Umgebung zu sein, da es während der Narkose mitunter zu einer Senkung der Körpertemperatur kommt. Bitte denken Sie bei der Abholung Ihres Tieres daran, Decken mitzubringen, mit denen das Tier auf dem Nachhauseweg warm gehalten werden kann.

Die Bewegungsfreiheit des Frischoperierten soll in der ersten Zeit nach der Operation eingeschränkt werden, um Komplikationen der Wundheilung zu verhindern. Hunde dürfen nur an der Leine spazieren geführt werden. Katzen sollen nicht sofort ins Freie entlassen werden, da sie sich, sollte es eventuelle Komplikationen geben, verkriechen und nicht mehr nach Hause kommen.

Starkes Lecken an der frischen Wunde kann zu einer Entzündung und durch eventuelles „Selbstziehen“ der Fäden zu einem Aufreißen der Naht führen.

Das Tier darf erst etwas trinken, wenn es wieder ganz erwacht ist bzw. wenn der Schluckreflex wieder vollständig vorhanden ist.

Am Tag der Operation ist es für das Tier besser, wenn es nichts mehr zu fressen bekommt. Am Folgetag sollen nur kleine Portionen gegeben werden, damit der Magen- Darmtrakt nicht zu sehr belastet wird.